48-aastane naine - puuduvad hambad - Kliinik32

48-aastane naine – puuduvad hambad

48-aastane naine – puuduvad hambad

Ravijuhtum

48-aastane naine – puuduvad hambad

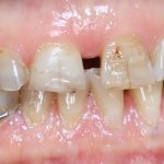
Algseis:

Igemepõletik, puuduvad hambad, ulatuslik hammaste kulumine, hambumuse madaldumine, juurealused põletikud, eemaldatavad proteesid pikaajalisest hambutusest kitsenenud ja madaldunud alalõug.

Ravi kestvus:
2,5 aastat

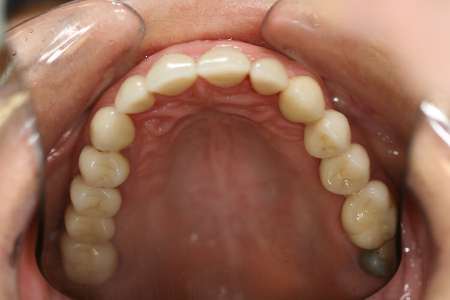
Ravi:

Igemeravi, juureravi, puuduvad hambad asendati hambaimplantaatidega, hambumus taastati täiskeraamiliste kroonide ja laminaatidega, ravitulemuse stabiliseerimiseks valmistati hambumuskape.