55-aastane naine - parodontiit - Kliinik32

55-aastane naine – parodontiit

55-aastane naine – parodontiit

Ravijuhtum

55-aastane naine – parodontiit

Algseis:

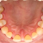
Kaugelearenenud parodontiit, liikuvad hambad, sügavad 6-8 mm igemetaskud, veritsevad igemed.

Ravi kestvus:
Ravi kestus 1 kuu, iga 6 kuu tagant profülaktiline hammaste sügavpuhastus parodontiidi kontrolli alla hoidmiseks.

Ravi:

Igemepealse ja igemealuse hambakivi eemaldamine, lootusetute hammaste eemaldamine.

Pildid enne:

Pildid pärast: