45-aastane mees - Kliinik32

45-aastane mees

45-aastane mees

Ravijuhtum

45-aastane mees

Ravi kestus:
20. jaanuar 2015 – ravi kestab
Ravi:

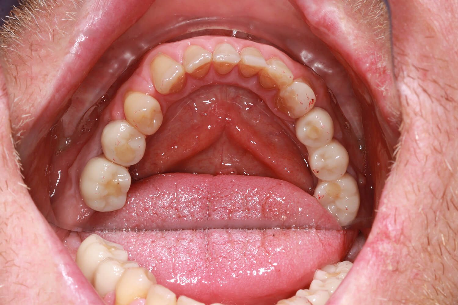
Saadetud teisest kliinikust proteesimiseks. Suus palju puuduvaid hambaid ja lagunenud hambajuuri. Tagahammaste asendamiseks asetatud kaheksa implantaati ja tehtud hetkel ajutised implantaadikroonid, implantaadisillad.  Ülemistele esihammastele on tehtud keraamilised kroonid ning alalõua esihammaste lõikeservade taastamine komposiidiga. Esihammaste keraamilised kroonid ja lõplikud implantaadikroonid on töös.